J Cancer
2023; 14(7):1157-1158.
doi:10.7150/jca.85372 This issueCite
Erratum
Cytochalasin H Inhibits Angiogenesis via the Suppression of HIF-1α Protein Accumulation and VEGF Expression through PI3K/AKT/P70S6K and ERK1/2 Signaling Pathways in Non-Small Cell Lung Cancer Cells: Erratum
1. Collaborative innovation center for antitumor active substance research and development, Guangdong Medical University, Zhanjiang 524023, P.R. China 2. Institute of Biochemistry and Molecular Biology, Guangdong Medical University, Zhanjiang 524023, P.R. China 3. Guangdong Key Laboratory for Research and Development of Natural Drugs, Guangdong Medical University, Zhanjiang 524023, P.R. China 4. Guangdong Provincial Key Laboratory of Medical Molecular Diagnostics, Guangdong Medical University, Dongguan 523808, P.R. China. * These authors contribute equally to this work.
✉ Corresponding author: Xudong Tang, MD, PhD, Collaborative innovation center for antitumor active substance research and development, Guangdong Medical University, 2 Wenming Donglu, Xiashan, Zhanjiang, Guangdong 524023, P.R. China. Phone: 86-759-2388581, Fax: 86-759-2284104, E-mail: tangxudong2599com, txdedu.cn.More
Published 2023-4-28
Citation:
Ma Y, Xiu Z, Zhou Z, Huang B, Liu J, Wu X, Li S, Tang X. Cytochalasin H Inhibits Angiogenesis via the Suppression of HIF-1α Protein Accumulation and VEGF Expression through PI3K/AKT/P70S6K and ERK1/2 Signaling Pathways in Non-Small Cell Lung Cancer Cells: Erratum. J Cancer 2023; 14(7):1157-1158. doi:10.7150/jca.85372. https://www.jcancer.org/v14p1157.htm
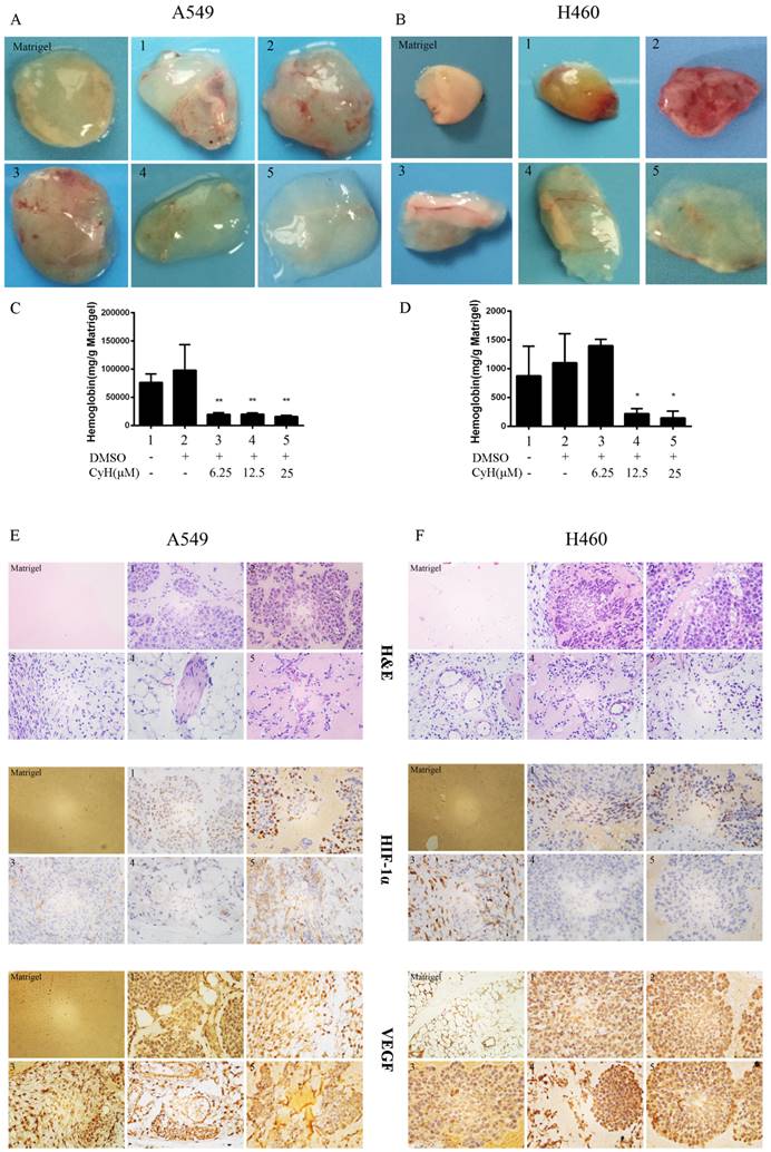
In the original version of our article, “(Figure 2)” should be changed into “(Figure 3A)” in bottom line 7 of page 2002 (right). Moreover, there was an error in Figure 2F of the original version of our article. Specifically, the representative image of VEGF expression of H460 xenografted tumors in Figure 2F is incorrect. The correct image is provided below. This correction will not affect the results and conclusions. The authors apologize for any inconvenience this may have caused.
Figure 2
CyH inhibited angiogenesis in vivo and HIF-1α and VEGF protein expression in A549 and H460 NSCLC xenografts. A549 and H460 cells were treated with different concentrations (0, 6.25, 12.5, and 25 μM) of CyH. (A, B) Matrigel plugs. (C, D) The hemoglobin levels in Matrigel plugs. Hemoglobin content was expressed as (mg/g) of Matrigel plug. Immunohistochemical studies on the expression of HIF-1α and VEGF proteins in A549 (E) and H460 (F) xenografted tumors (original magnification, ×400). The results are representative of five independent experiments. Compared with control (lane 2), *P<0.05, **P<0.01.
Author contact
Corresponding author: Xudong Tang, MD, PhD, Collaborative innovation center for antitumor active substance research and development, Guangdong Medical University, 2 Wenming Donglu, Xiashan, Zhanjiang, Guangdong 524023, P.R. China. Phone: 86-759-2388581, Fax: 86-759-2284104, E-mail: tangxudong2599com, txdedu.cn.
Citation styles
APA
Ma, Y., Xiu, Z., Zhou, Z., Huang, B., Liu, J., Wu, X., Li, S., Tang, X. (2023). Cytochalasin H Inhibits Angiogenesis via the Suppression of HIF-1α Protein Accumulation and VEGF Expression through PI3K/AKT/P70S6K and ERK1/2 Signaling Pathways in Non-Small Cell Lung Cancer Cells: Erratum. Journal of Cancer, 14(7), 1157-1158. https://doi.org/10.7150/jca.85372.
ACS
Ma, Y.; Xiu, Z.; Zhou, Z.; Huang, B.; Liu, J.; Wu, X.; Li, S.; Tang, X. Cytochalasin H Inhibits Angiogenesis via the Suppression of HIF-1α Protein Accumulation and VEGF Expression through PI3K/AKT/P70S6K and ERK1/2 Signaling Pathways in Non-Small Cell Lung Cancer Cells: Erratum. J. Cancer 2023, 14 (7), 1157-1158. DOI: 10.7150/jca.85372.
NLM
Ma Y, Xiu Z, Zhou Z, Huang B, Liu J, Wu X, Li S, Tang X. Cytochalasin H Inhibits Angiogenesis via the Suppression of HIF-1α Protein Accumulation and VEGF Expression through PI3K/AKT/P70S6K and ERK1/2 Signaling Pathways in Non-Small Cell Lung Cancer Cells: Erratum. J Cancer 2023; 14(7):1157-1158. doi:10.7150/jca.85372. https://www.jcancer.org/v14p1157.htm
CSE
Ma Y, Xiu Z, Zhou Z, Huang B, Liu J, Wu X, Li S, Tang X. 2023. Cytochalasin H Inhibits Angiogenesis via the Suppression of HIF-1α Protein Accumulation and VEGF Expression through PI3K/AKT/P70S6K and ERK1/2 Signaling Pathways in Non-Small Cell Lung Cancer Cells: Erratum. J Cancer. 14(7):1157-1158.
This is an open access article distributed under the terms of the Creative Commons Attribution License (https://creativecommons.org/licenses/by/4.0/). See http://ivyspring.com/terms for full terms and conditions.