J Cancer 2023; 14(18):3568-3569. doi:10.7150/jca.92673 This issue Cite

Erratum

MicroRNA-449a Inhibits Tumor Metastasis through AKT/ERK1/2 Inactivation by Targeting Steroid Receptor Coactivator (SRC) in Endometrial Cancer: Erratum

Yuan Hu1,2,*, An-Yue Wu1,2,*, Cong Xu1,2, Ke-Qi Song1,2, Wen-Jing Wang1,2, Xia Yin1,2, Wen Di1,2,3, Zu-Bei Hong1,2, Corresponding address, Li-Hua Qiu1,2, Corresponding address

1. Department of Obstetrics and Gynecology, Ren Ji Hospital, School of Medicine, Shanghai JiaoTong University, Shanghai 200127, China
2. Shanghai Key Laboratory of Gynecologic Oncology, Shanghai 200127, China
3. State Key Laboratory of Oncogenes and Related Genes, Shanghai Cancer Institute, Ren Ji Hospital, School of Medicine, Shanghai Jiao Tong University
* Co-first authors: these authors contributed equally to this work.

Published 2023-12-2

Citation:
Hu Y, Wu AY, Xu C, Song KQ, Wang WJ, Yin X, Di W, Hong ZB, Qiu LH. MicroRNA-449a Inhibits Tumor Metastasis through AKT/ERK1/2 Inactivation by Targeting Steroid Receptor Coactivator (SRC) in Endometrial Cancer: Erratum. J Cancer 2023; 14(18):3568-3569. doi:10.7150/jca.92673. https://www.jcancer.org/v14p3568.htm
Other styles

File import instruction

Corrected-article in J Cancer, Volume 10, 547

 

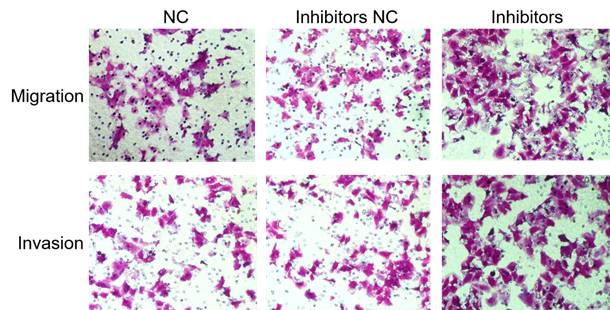
In the previously published version of this article, the representative images of the transwell assays for AN3CA cells transfected with NCs or miR-449a inhibitors in Figure 2F and Figure 4D were inaccurate. The correct images are provided below. This correction will not affect the results and conclusion. The authors sincerely apologize for any inconvenience or misunderstanding that error may have caused.

All authors confirm that they agree to the erratum.

 Figure 2 

miR-449a suppresses the migration and invasion of endometrial cancer. (F) Transwell assay of AN3CA cells transfected with miR-449a inhibitors or NCs. *P < 0.05.

J Cancer Image
 Figure 4 

SRC was upregulated in advanced endometrial cancer tissues and affected migration and invasion in vitro. (D) Transwell assay of AN3CA cells transfected with SRC siRNA or NCs. *P < 0.05.

J Cancer Image

Author contact

Corresponding address Corresponding authors: Zu-Bei Hong, Department of Obstetrics and Gynecology, Ren Ji Hospital, 160 Pujian Road, Pu-dong District, Shanghai 200127, China. Phone: +86-21-58752345, Fax: +86-21- 58395057. E-mail: hongzubeicom. Li-Hua Qiu, Department of Obstetrics and Gynecology, Ren Ji Hospital, 160 Pujian Road, Pu-dong District, Shanghai 200127, China. Phone: +86-21-58752345, Fax: +86-21- 58395057. E-mail: lilyqiulhcom


Citation styles

APA
Hu, Y., Wu, A.Y., Xu, C., Song, K.Q., Wang, W.J., Yin, X., Di, W., Hong, Z.B., Qiu, L.H. (2023). MicroRNA-449a Inhibits Tumor Metastasis through AKT/ERK1/2 Inactivation by Targeting Steroid Receptor Coactivator (SRC) in Endometrial Cancer: Erratum. Journal of Cancer, 14(18), 3568-3569. https://doi.org/10.7150/jca.92673.

ACS
Hu, Y.; Wu, A.Y.; Xu, C.; Song, K.Q.; Wang, W.J.; Yin, X.; Di, W.; Hong, Z.B.; Qiu, L.H. MicroRNA-449a Inhibits Tumor Metastasis through AKT/ERK1/2 Inactivation by Targeting Steroid Receptor Coactivator (SRC) in Endometrial Cancer: Erratum. J. Cancer 2023, 14 (18), 3568-3569. DOI: 10.7150/jca.92673.

NLM
Hu Y, Wu AY, Xu C, Song KQ, Wang WJ, Yin X, Di W, Hong ZB, Qiu LH. MicroRNA-449a Inhibits Tumor Metastasis through AKT/ERK1/2 Inactivation by Targeting Steroid Receptor Coactivator (SRC) in Endometrial Cancer: Erratum. J Cancer 2023; 14(18):3568-3569. doi:10.7150/jca.92673. https://www.jcancer.org/v14p3568.htm

CSE
Hu Y, Wu AY, Xu C, Song KQ, Wang WJ, Yin X, Di W, Hong ZB, Qiu LH. 2023. MicroRNA-449a Inhibits Tumor Metastasis through AKT/ERK1/2 Inactivation by Targeting Steroid Receptor Coactivator (SRC) in Endometrial Cancer: Erratum. J Cancer. 14(18):3568-3569.

This is an open access article distributed under the terms of the Creative Commons Attribution License (https://creativecommons.org/licenses/by/4.0/). See http://ivyspring.com/terms for full terms and conditions.
Popup Image