J Cancer 2024; 15(20):6568-6569. doi:10.7150/jca.105108 This issue Cite

Erratum

Interferon-α Promotes the Expression of Cancer Stem Cell Markers in Oral Squamous Cell Carcinoma: Erratum

Hailong Ma1#, Shufang Jin1,2#, Wenyi Yang1, Zhuowei Tian1, Shuli Liu1, Yang Wang1, Ge Zhou3, Mei Zhao3, Shalva Gvetadze4, Zhiyuan Zhang1, Corresponding address, Jingzhou Hu1, Corresponding address

1. Department of Oral Maxillofacial-Head and Neck Oncology, Shanghai Ninth People's Hospital, Shanghai Jiao Tong University School of Medicine, Shanghai Key Laboratory of Stomatology, Shanghai 200011, China
2. Department of Oral and Maxillofacial Surgery, The Second Affiliated Hospital Zhejiang University School of Medicine, Hangzhou 310009, China
3. Department of Head and Neck Surgery, The University of Texas MD Anderson Cancer Center, Houston, Texas 77030, USA
4. Central Research Institute of Dentistry and Maxillofacial Surgery, Congenital Maxillofacial Defects and Deformations, Timura Frunze 16, Moscow 119034, Russia
#Hailong Ma and Shufang Jin contributed equally to this study.

Published 2024-10-25

Citation:
Ma H, Jin S, Yang W, Tian Z, Liu S, Wang Y, Zhou G, Zhao M, Gvetadze S, Zhang Z, Hu J. Interferon-α Promotes the Expression of Cancer Stem Cell Markers in Oral Squamous Cell Carcinoma: Erratum. J Cancer 2024; 15(20):6568-6569. doi:10.7150/jca.105108. https://www.jcancer.org/v15p6568.htm
Other styles

File import instruction

Corrected-article in J Cancer, Volume 8, 2384

 

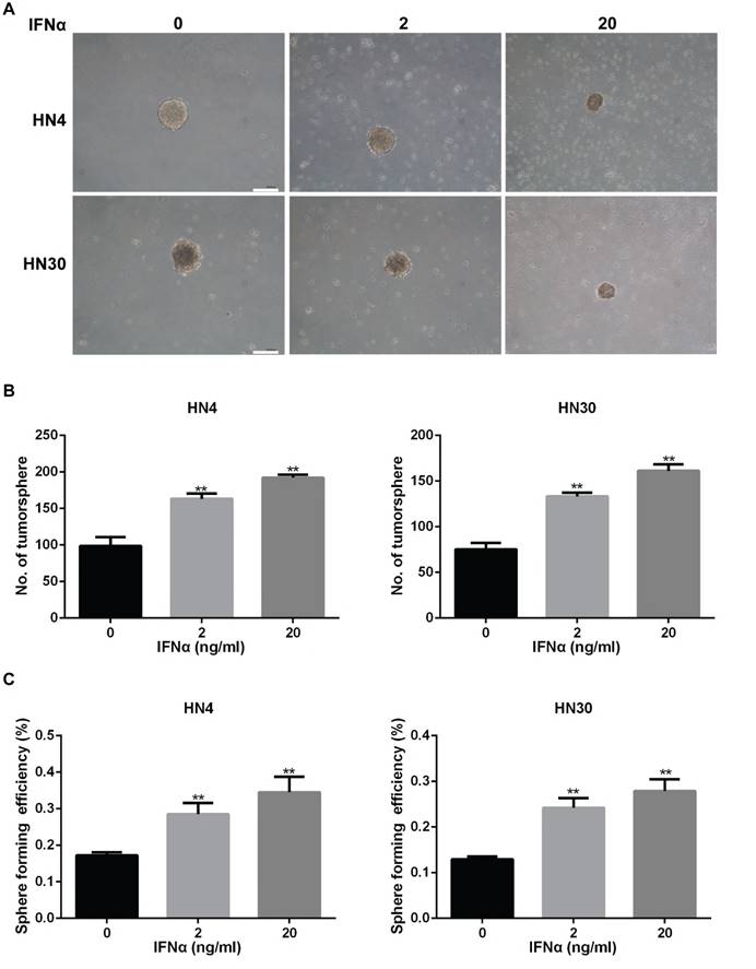
In the original version of our article, there was an error in Fig. 4A. Specifically, the representative image of 20 ng/m/ IFNα in HN30 cells in Figure 4A is incorrect. The correct image is provided below. This correction will not affect the results and conclusions. The authors apologize for any inconvenience this may have caused.

 Figure 4 

IFNα enhances tumorsphere formation ability in HN4 and HN30 cells. (A) Representative images of tumorsphere formation in conditioned medium with indicated concentration of IFNα (2ng/ml; 20ng/ml) for 2 weeks. Scar bar: 1mm. (B) Quantitation of the number of tumorsphere formation in HN4 and HN30 cells in the presence and absence of IFNα incubation. (C) Sphere forming efficiency of HN4 and HN30 cells in the presence and absence of IFNα incubation.

J Cancer Image

Author contact

Corresponding address Corresponding authors: Jingzhou Hu, Department of Oral Maxillofacial-Head and Neck Oncology, Shanghai Ninth People's Hospital, Shanghai Jiao Tong University School of Medicine, Shanghai Key Laboratory of Stomatology, No 639, Zhizaoju Rd, Shanghai 200011, China. Tel: +86 021 23271699 5160; Fax: +86 021 63136856; E-mail: huyayiedu.cn and Zhiyuan Zhang, Department of Oral Maxillofacial-Head and Neck Oncology, Shanghai Ninth People's Hospital, Shanghai Jiao Tong University School of Medicine, Shanghai Key Laboratory of Stomatology, No 639, Zhizaoju Rd, Shanghai 200011, China. Tel: +86 021 23271699 5160; Fax: +86 021 63136856; E-mail: zhzhy0502com


Citation styles

APA
Ma, H., Jin, S., Yang, W., Tian, Z., Liu, S., Wang, Y., Zhou, G., Zhao, M., Gvetadze, S., Zhang, Z., Hu, J. (2024). Interferon-α Promotes the Expression of Cancer Stem Cell Markers in Oral Squamous Cell Carcinoma: Erratum. Journal of Cancer, 15(20), 6568-6569. https://doi.org/10.7150/jca.105108.

ACS
Ma, H.; Jin, S.; Yang, W.; Tian, Z.; Liu, S.; Wang, Y.; Zhou, G.; Zhao, M.; Gvetadze, S.; Zhang, Z.; Hu, J. Interferon-α Promotes the Expression of Cancer Stem Cell Markers in Oral Squamous Cell Carcinoma: Erratum. J. Cancer 2024, 15 (20), 6568-6569. DOI: 10.7150/jca.105108.

NLM
Ma H, Jin S, Yang W, Tian Z, Liu S, Wang Y, Zhou G, Zhao M, Gvetadze S, Zhang Z, Hu J. Interferon-α Promotes the Expression of Cancer Stem Cell Markers in Oral Squamous Cell Carcinoma: Erratum. J Cancer 2024; 15(20):6568-6569. doi:10.7150/jca.105108. https://www.jcancer.org/v15p6568.htm

CSE
Ma H, Jin S, Yang W, Tian Z, Liu S, Wang Y, Zhou G, Zhao M, Gvetadze S, Zhang Z, Hu J. 2024. Interferon-α Promotes the Expression of Cancer Stem Cell Markers in Oral Squamous Cell Carcinoma: Erratum. J Cancer. 15(20):6568-6569.

This is an open access article distributed under the terms of the Creative Commons Attribution License (https://creativecommons.org/licenses/by/4.0/). See http://ivyspring.com/terms for full terms and conditions.
Popup Image